Ten Toes Down
Okay maybe nine.
Saturday morning I was teaching my full body class, living my best life, full of inspiration but lacking proper sleep from a life “being lived”.
I was mid ridiculous story when I tripped over a 25 lb. dumbbell, heard a pop, and just kept going.
I was like oh wow - that hurt.
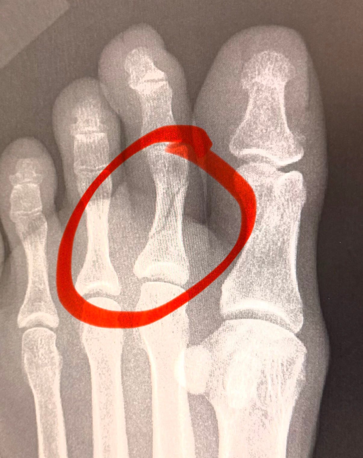
10 minutes later I look down while doing a seated rear delt exercise and saw my second toe going SIDEWAYS.
Ummm, it’s as disturbing as you’d imagine.
Turns out I cleanly broke that little buddy diagonally across.
My first broken bone, too.
There goes my 47 year streak … and I thought the 63 weeks of writing a Substack email was impressive. Gaaahhhh….
The most interesting thing I’ve noticed in my three days of hobbling around is how much I already miss dancing. We had just gotten the gang back together doing a once-a-week dance class, and it was starting to light me up in ways I didn’t expect. As I reflect on these feelings, now that I won’t be dancing for a few weeks, I can say with 100% certainty that the catharsis is real.
As if I didn’t already believe my own branding.
As if I haven’t lived enough of the ‘metabolize your emotion’ lifestyle.
As if I needed another reminder.
When you’re forced to feel something with no place and no outlet for it to be released, you find yourself stuck. It gets dark in there. It reminds me of 2005 when I ruptured those four discs in my spine and was on bed rest for a month. That’s the darkest mental state I had been in to date, and it was as confronting as anything I’d known.
I’m not comparing my janky toe to a severe spinal injury but the emotional lesson of ‘nowhere to go’ is real. Uncomfortable to say the least.
In the time that Matt has been gone, I’ve had moments of overwhelming emotion that requires me to move. Whether it’s grief, excitement, or another emotion that boils to the very surface of your skin - it’s the realization that whatever is going on inside must be released. I’m sure there’s plenty of ways to experience this, but for me, movement has always been the gift that keeps on giving ... Not to mention the incredible mood-boosting benefits, along with the aesthetics, the internal health, and so much more.
I’m not so worried about my toe.
I’m going to continue to train all around it. I’m very grateful it’s not worse and that it is just my second toe and not my big toe. Of course, my OnlyFans foot account is now in jeopardy ... Baahahaha actually don’t get me started on that. It’s not OnlyFans, thank God, but apparently my feet are all over the internet.
To each their own, but also I just threw up a little.
This will be a great opportunity for me to pivot, for me to slow down, to receive help, to ask for help. The dancing isn’t going anywhere, but my inability to dance also highlights that I’ve been making a great choice. Showing up to dance class when you’re technically retired does a number on your ego at first, but what I’ve recognized in the last few classes is that I’m still very much alive.
The take-home prize is a version of me that I really, really like.
As the kids say, I’m going to keep “standing on business.” I’m proud of myself for returning to dance, here and there.
I’m grateful for this little break in my routine, no pun intended.
Until I’m fully ten toes down again, nine will do.
OKAYILOVEYOUBYEEE,
xx
Nic.
ps. * Tuesday QUICKIE YOGA. 12-12:30pm pst. $10. A well rounded music based mobility focused yoga flow. This was created as a community class and if you ever need financial assistance to attend - please just reach out or use code NEWFRIEND to try a class for free. Sign up here.
* Saturday AVIATOR NATION YOGA FLOW 9-10am, 10:15-11:15am. In person, in Santa Monica. Come on out. Sign up here.
* Sunday AVIATOR NATION YOGA FLOW 10:45-11:45am. In person, in Santa Monica. Come on out. Sign up here.
pps. PALM DESERT RETREAT OCT 1-4th, 2026 HAS ONE REMAINING ROOM AVAILABLE. I know. The email went out a few weeks ago and was nearly sold out in 36 hours. If you’re up for the master bedroom (split it with a gf) then please reply here so we can discuss it. I’m sure it’ll sell out but maybe this is the SIGN you were waiting for … love you. Join us. Reply to this email sis…
ppps. MARCH FIT 2026. Great news: Spring is coming. This is YOUR SIGN to book in and let us get you in the groove. We begin THIS THURSDAY and have 4 classes a week (lower, upper, full body and yoga) that are meant to get you into a habitual program that creates consistency, builds stackable habits, improves your self reliance and produces results. It’s time. Get in the room: Sign up here.
pppps. NEW EPISODE OF SHOCK AND Y’ALL IS OUT NOW. I’m speaking with myself. This conversation was born from a comment that a client made in our group chat regarding investing and justifying money spent on ourselves. This topic turned into a Coco and Lala IG show and then subsequently a topic for a solo cast because I LOVE DISCUSSING THIS. I hope you enjoy this short and sweet conversation. Maybe it will help move the needle for you in some small way.
Get excited … and let me know what you think:
APPLE:
SPOTIFY:
Oh wait. You’re still here … God bless you. I’m so forever grateful for your encouragement, listening, downloads, shares and feedback. Could you take a second to REVIEW MY SHOW? We have 102 five star reviews and that blows me away. Do I know 102 people? Regardless, if you’ve left a review THANK YOU SO MUCH and if you’d rather fork out your own eyeballs than leave a review, I respect that too. Click here if it feels good.


